카톡상담
유튜브
권예진 원장
인스타그램
상담
☰
TOP
구강센터
악안면센터
×
오늘 하루 보지 않기
GLOBAL
CLOSE
한국어
English
中文
日本語
Việt Nam
Русский
Türkçe
Deutsch
العربية
(메인)-간편 상담신청
상담내용
[임플란트]
[치아교정]
[수면클리닉]
[심미치료]
[자연치아살리기]
[악안면외과]
[악안면윤곽]
개인정보
취급방침
동의
0%
↑
implnamu
병원소개
경영철학
의료진 소개
치과 둘러보기
진료시간,오시는길
서울임플나무만의 특별함
임플란트
최소식립 전악임플란트
무절개 임플란트틀니
임플란트 살리기와 재수술
치아교정
성장기교정
투명교정,브라켓교정
수면클리닉
수면 임플란트
수면 사랑니
수면 안면윤곽
심미치료
치아미백
라미네이트
자연치아살리기
충치치료
잇몸치료
신경치료
레이저
점,사마귀,티눈
잡티,기미,색소
모공,흉터
리프팅,주름,탄력
쁘띠성형
비대칭교정
보톡스,필러
실리프팅
지방,윤곽,물광주사
관리
보습,미백,재생
줄기세포주사
수액
악안면외과
턱관절
사랑니
낭종,양성종양
봉합술,흉터레이저
커뮤니티
온라인상담
수술 전후
수술 후기
login
|
join
병원소개
임플란트
치아교정
수면클리닉
심미치료
자연치아살리기
레이저
쁘띠성형
관리
악안면외과
커뮤니티
경영철학
의료진 소개
치과 둘러보기
진료시간,오시는길
서울임플나무만의 특별함
최소식립 전악임플란트
무절개 임플란트틀니
임플란트 살리기와 재수술
성장기교정
투명교정,브라켓교정
수면 임플란트
수면 사랑니
수면 안면윤곽
치아미백
라미네이트
충치치료
잇몸치료
신경치료
점,사마귀,티눈
잡티,기미,색소
모공,흉터
리프팅,주름,탄력
비대칭교정
보톡스,필러
실리프팅
지방,윤곽,물광주사
보습,미백,재생
줄기세포주사
수액
턱관절
사랑니
낭종,양성종양
봉합술,흉터레이저
온라인상담
수술 전후
수술 후기
Total 50건
4 페이지
임플란트
치아교정
수면클리닉
심미치료
자연치아살리기
악안면외과
악안면윤곽
수술 전
수술 후
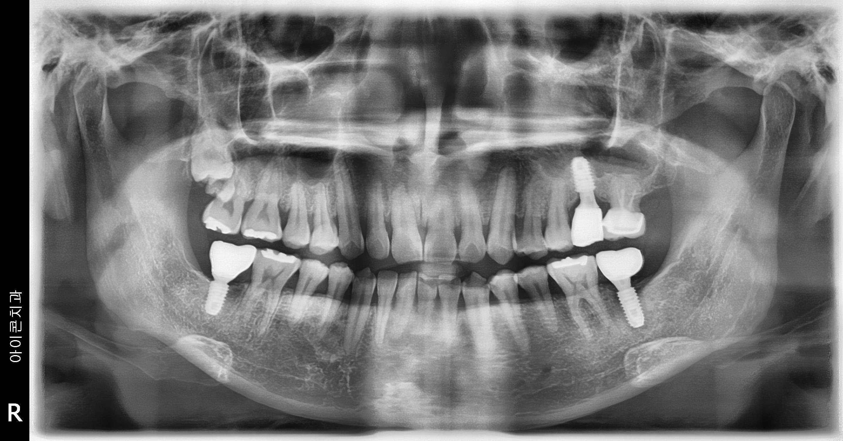
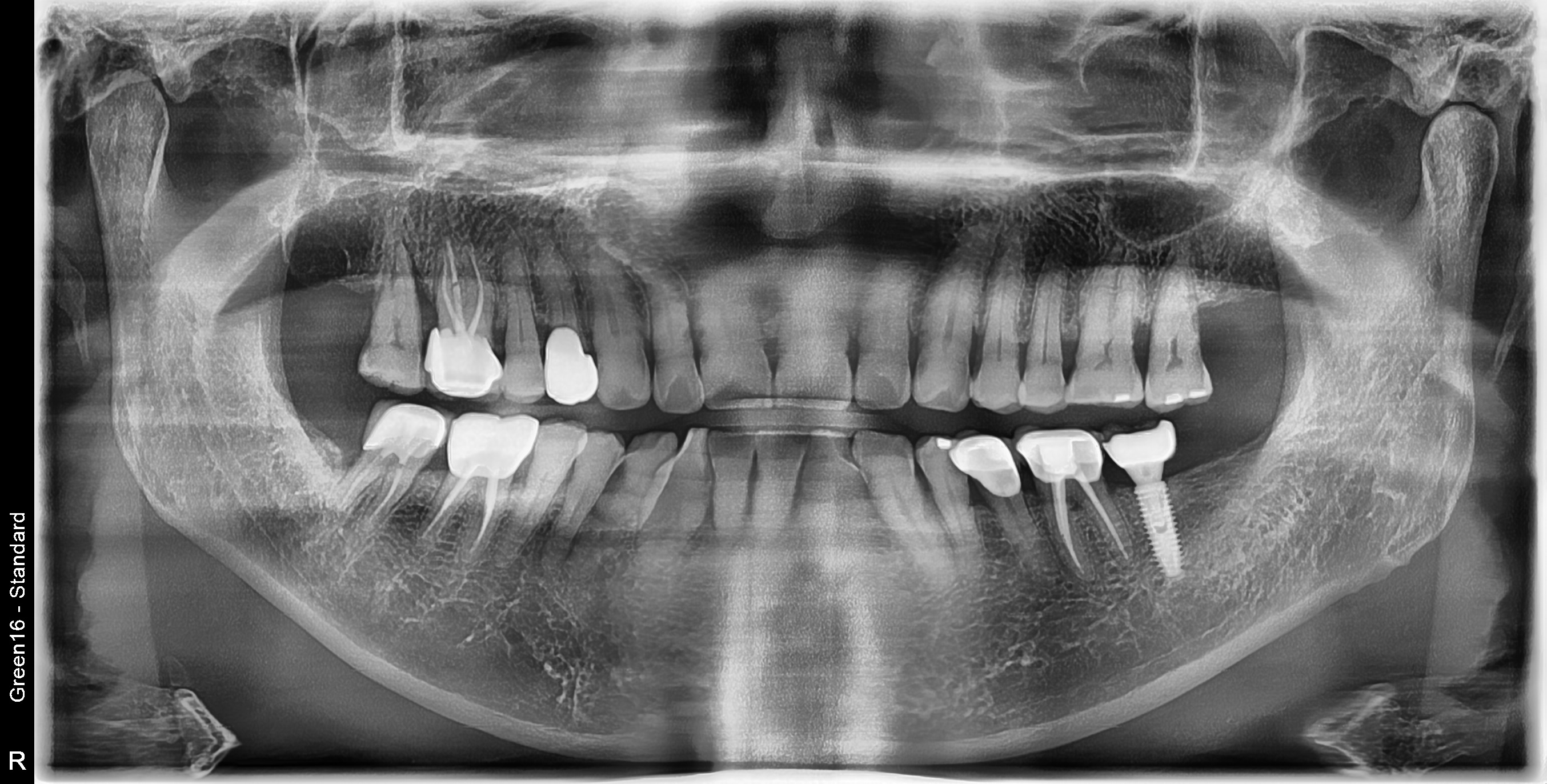
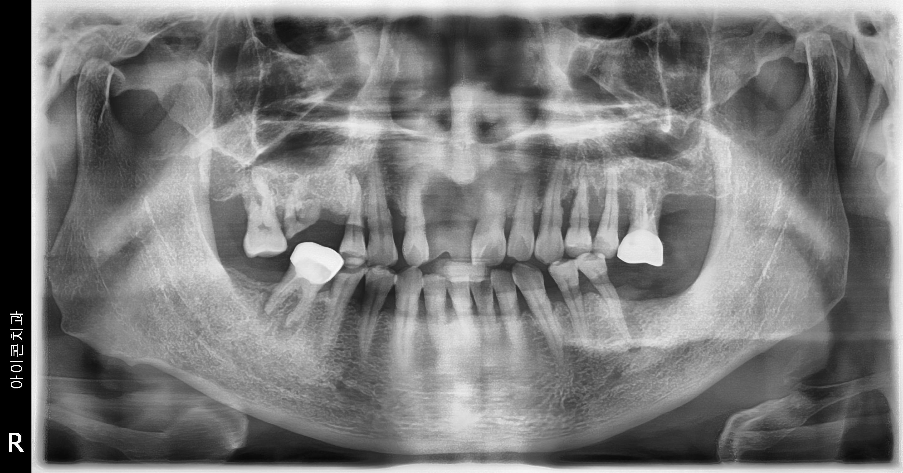
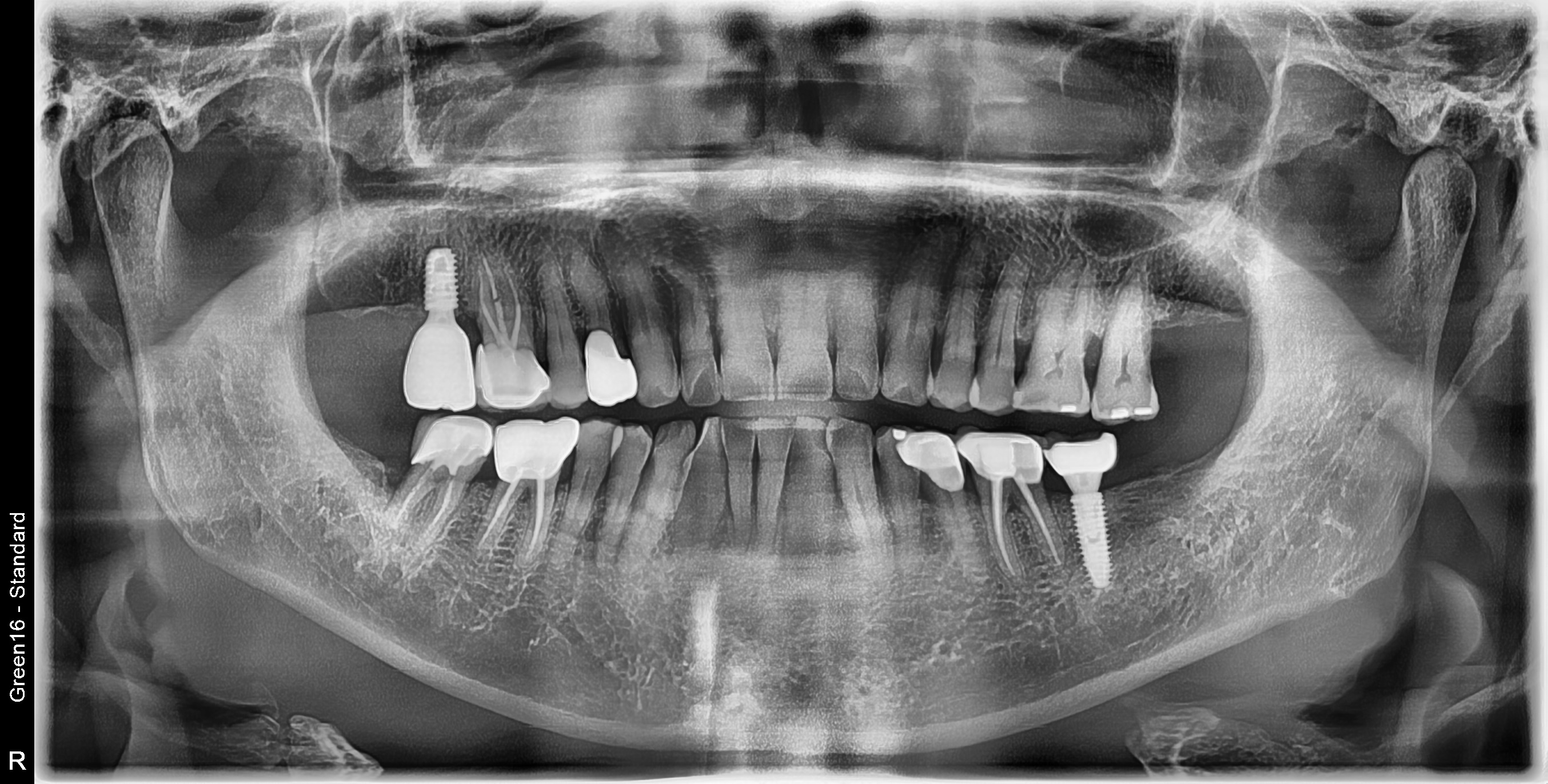
상하악 구치부 임플란트 식립사례
전후사진
수술 전
수술 후
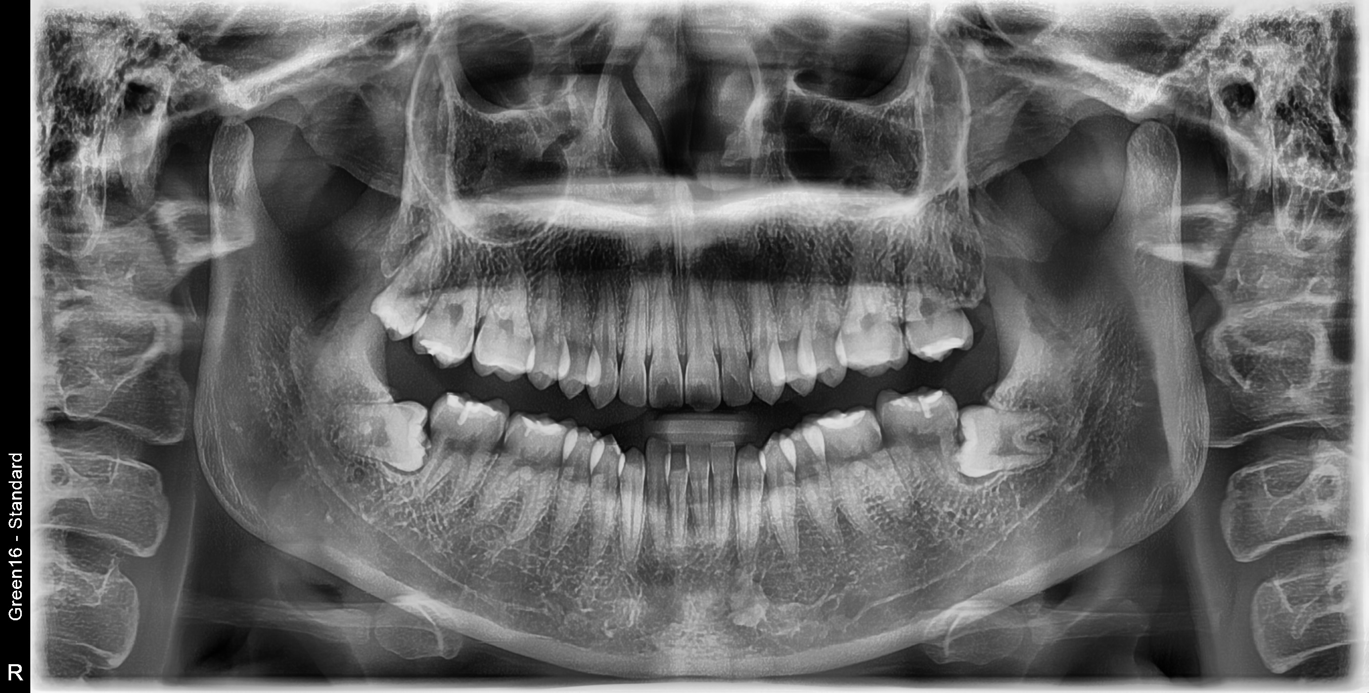
하악 임플란트 식립사례
전후사진
수술 전
수술 후
좌측 임플란트 흔들림 재수술 사례
전후사진
수술 전
수술 후
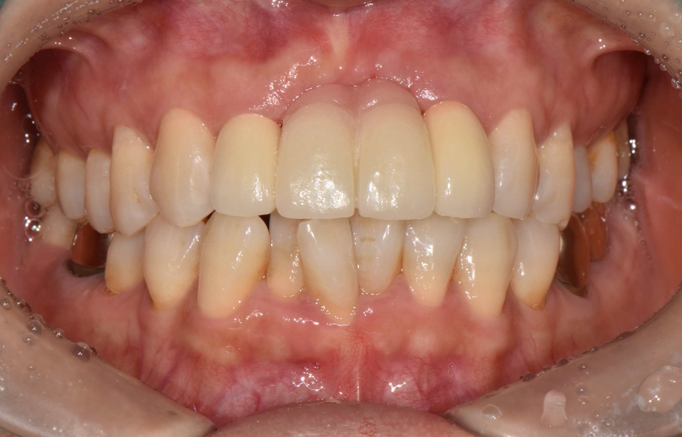
우측 임플란트 식립 사례
전후사진
수술 전
수술 후
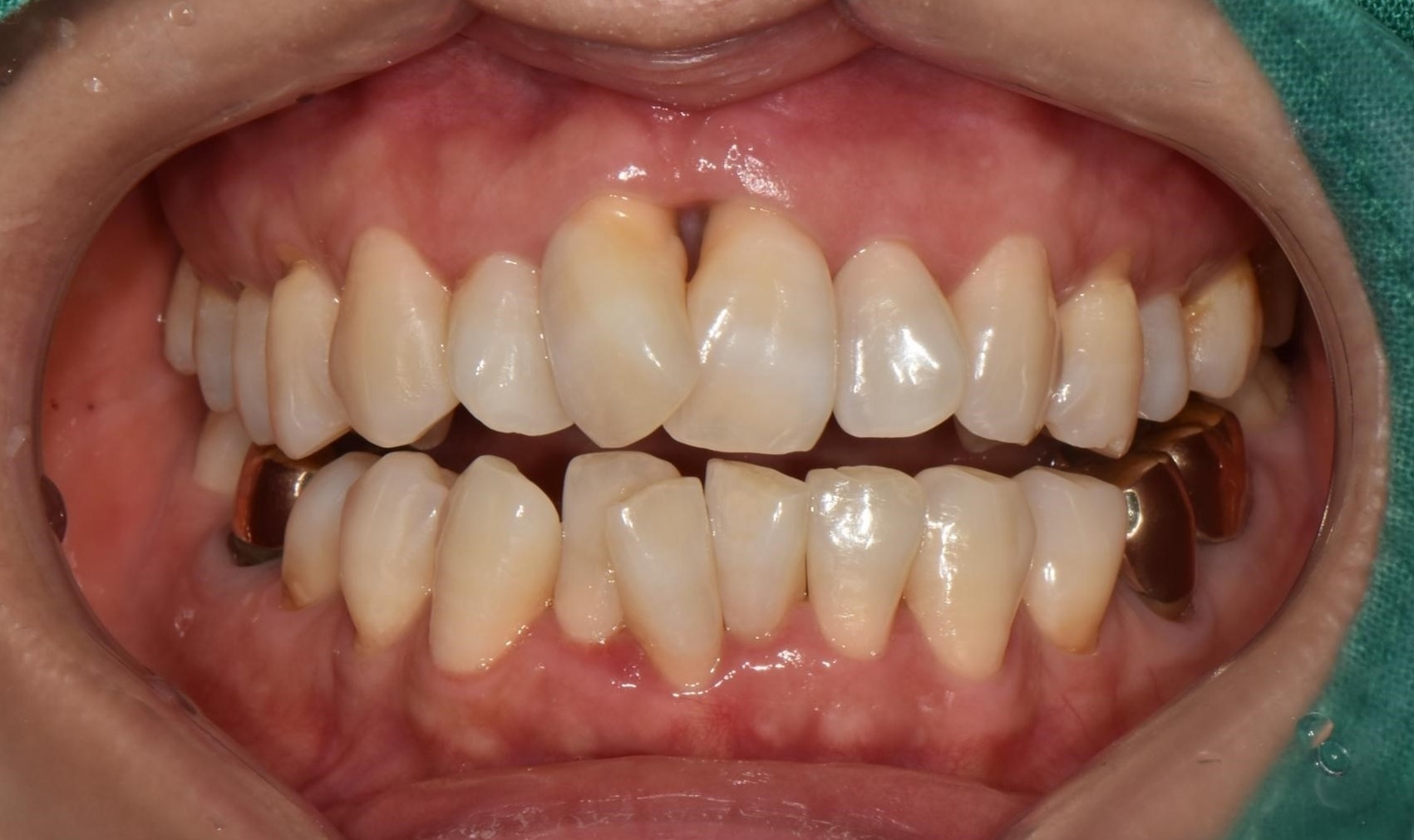
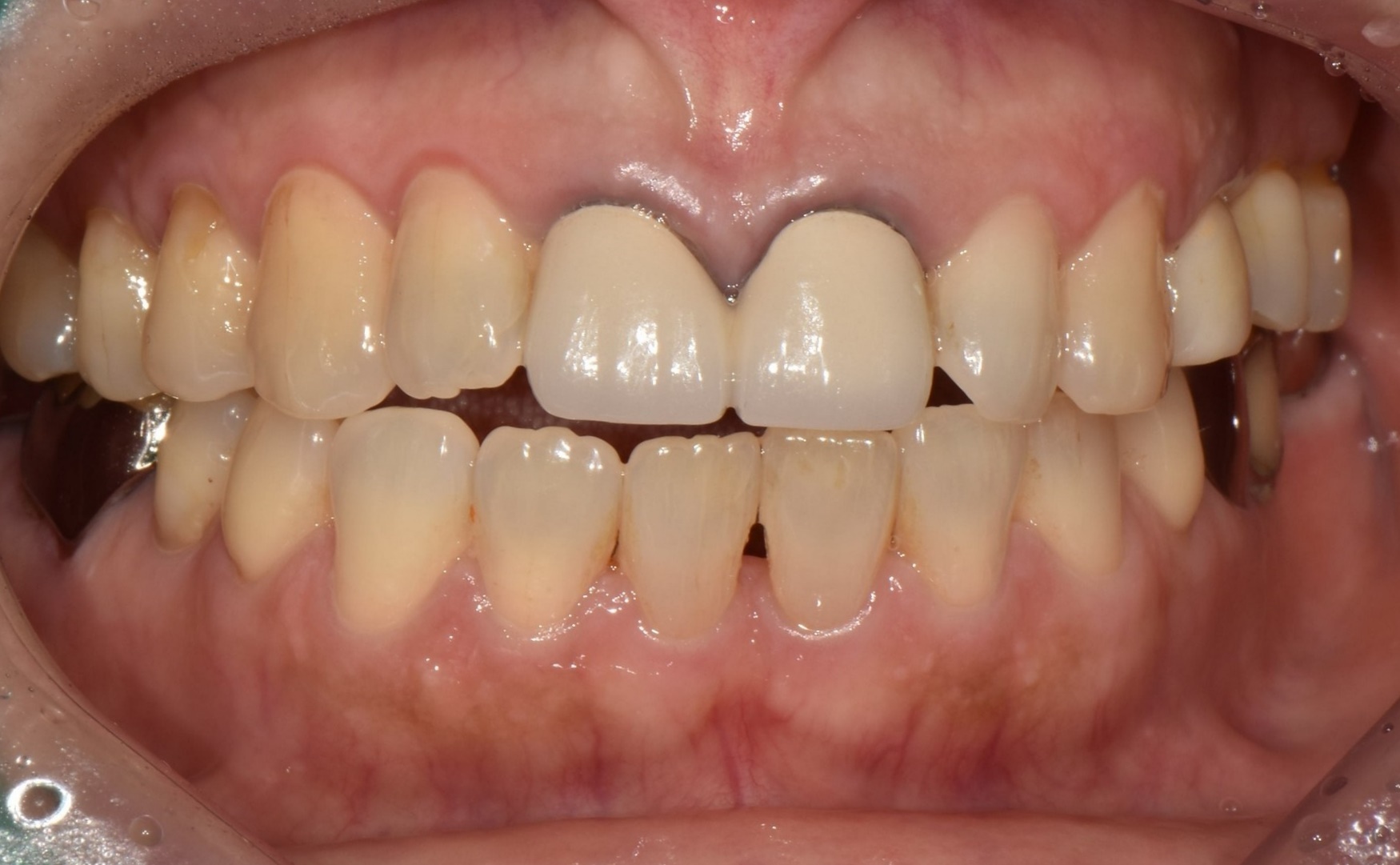
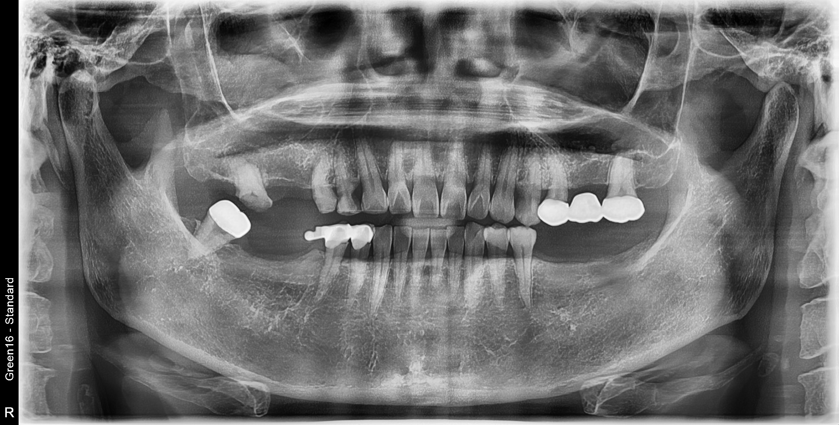
전치부 크라운 수복사례
전후사진
수술 전
수술 후
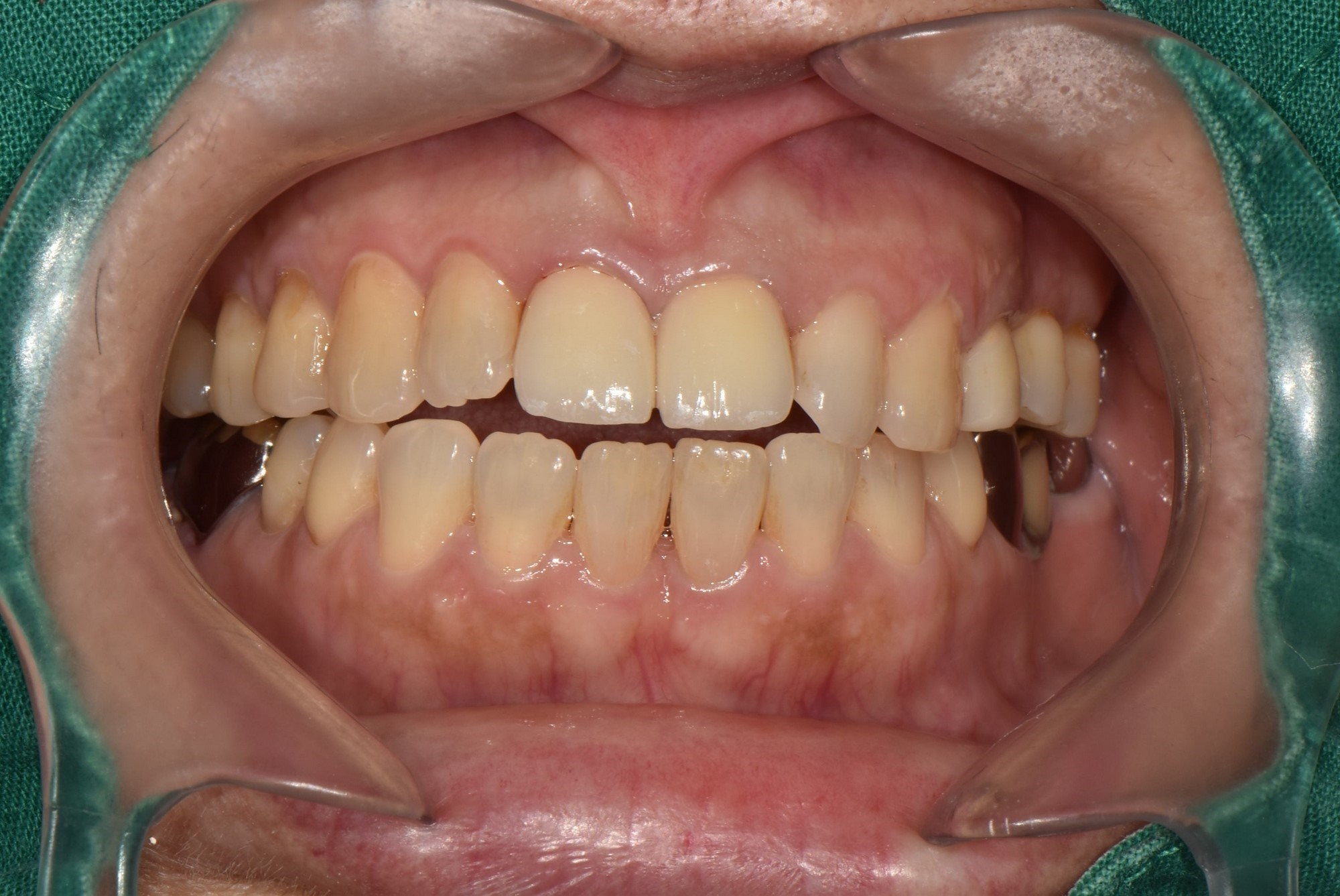
전치부 크라운 수복 사례
전후사진
수술 전
수술 후
치근단 절제술 사례
전후사진
수술 전
수술 후
사랑니 완전매복치 발치 사례
전후사진
수술 전
수술 후
악안면외과
우측 매복사랑니 발치 난케이스 사례
전후사진
수술 전
수술 후
설소대절제술
전후사진
수술 전
수술 후
발치 즉시 임플란트 식립사례
전후사진
수술 전
수술 후
구치부 임플란트 식립사례
전후사진
상하악 구치부 임플란트 식립사례
하악 임플란트 식립사례
좌측 임플란트 흔들림 재수술 사례
우측 임플란트 식립 사례
전치부 크라운 수복사례
전치부 크라운 수복 사례
치근단 절제술 사례
사랑니 완전매복치 발치 사례
우측 매복사랑니 발치 난케이스 사례
설소대절제술
발치 즉시 임플란트 식립사례
구치부 임플란트 식립사례
수술 후 출혈, 감염, 염증등 일반적으로 발생 할 수 있는 합병증은 개인에 따라 정도의 차이가 있을 수 있으므로 주의가 필요합니다.
처음
1
페이지
2
페이지
3
페이지
열린
4
페이지
5
페이지
맨끝
APPOINTMENT
예약상담 / 오시는 길
경기도 광명시 오리로 963-1, 2층
(광명사거리역 1번 출구 도보 1분)
02-6212-2228
HOURS
진료시간 안내
진료안내
평
화
일
오전 09:30 - 오후 18:30
월
화
수
오전 09:30 - 오후 20:30
토 요 일
오전 09:30 - 오후 14:00
일요일 및 공휴일 휴진
PARKING
주차안내
오시는 길
경기도 광명시 오리로 963-1, 2층
광명사거리역 1번출구와 서울임플나무치과 사이 골목으로 들어오셔서 20m전방 우회전하면 치과주차장이 있습니다.
카카오
지도
구글
지도
로그인
로그인 후 이용해주세요.
회원가입
비밀번호 찾기