카톡상담
유튜브
권예진 원장
인스타그램
상담

top
TOP
구강센터 구강센터 악안면센터 악안면센터
GLOBAL CLOSE
누워있으면 금방
해결되는 사랑니 발치 사랑니
IMPLNAMU
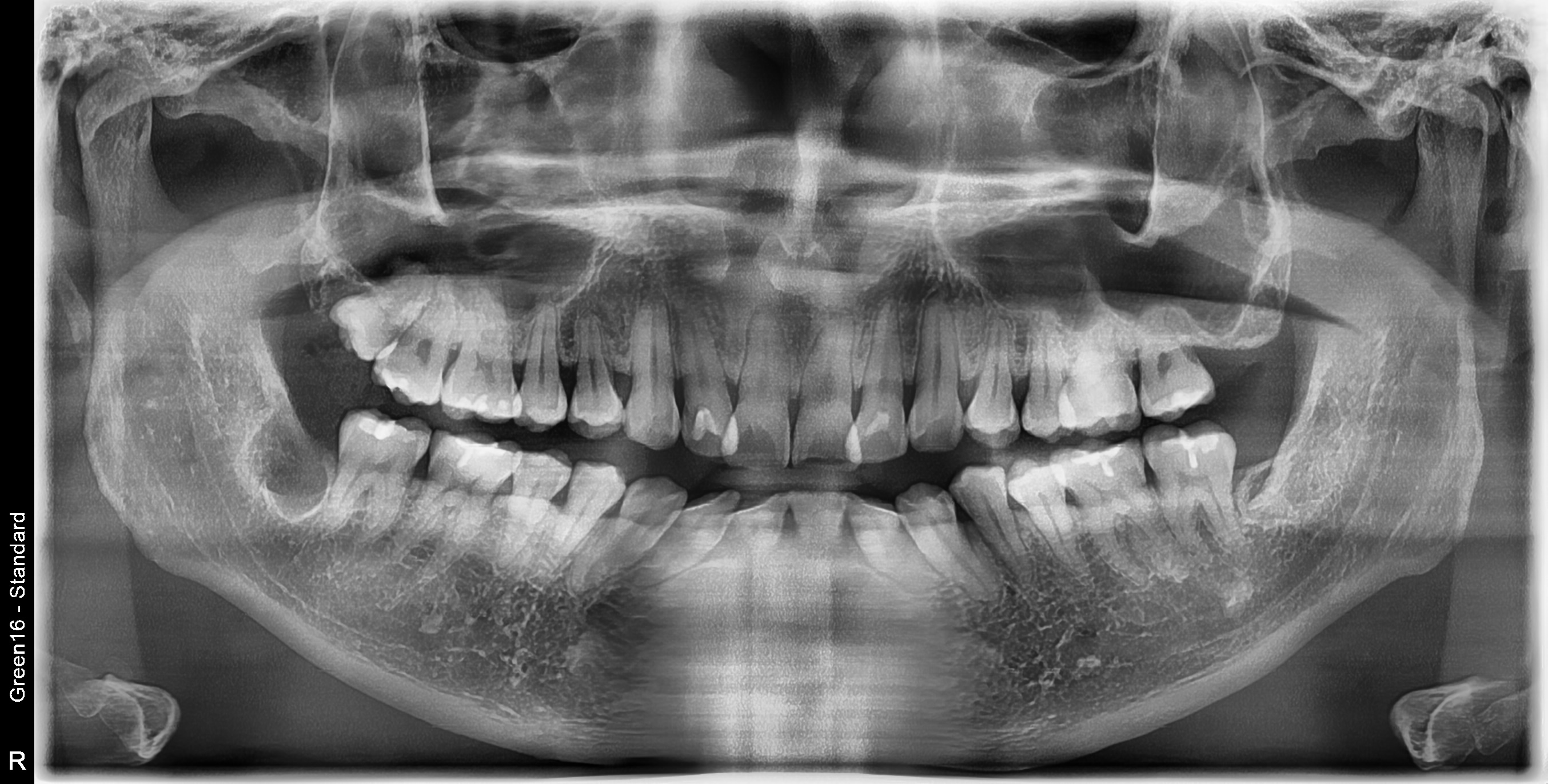
사랑니
사랑니가 신경과 맞닿아 있는 상황을 제외하고는 안전하고 신속하게 발치가 가능합니다.
사랑니가 비스듬하게 누워있는 경우에는 수술적인 방법을 통해 발치를 해야 하며 신경과 맞닿아 있는 경우에는 사랑니 발치 시 신경손상의 우려가 있음으로 주의하셔야 합니다.
수술전
수술후
[악안면외과] 우측 매복사랑니 발치 난케이스 사례
Before 1 Front Before 1 Side
화살표
화살표
마음과 마음이 하는 치료,
치료이상의 치유를 약속합니다.
당일 사랑니 발치
서울임플나무치과의 당일 사랑니 발치는 진단과 상담, 발치를 한 번에 진행해 여러 번 내원해야 하는 부담을 줄이는 시스템입니다.

방사선 검사를 통해 사랑니 위치와 신경과의 거리를 먼저 확인한 뒤, 가능한 경우에 한해 당일 발치를 도와 드려 갑작스러운 통증으로 인한 불편을 빠르게 줄이는 데 도움을 드립니다.
implnamu
당일 사랑니 발치
사랑니로 인한 치통은 물론 몸살까지 일으키기도 하는 사랑니 통증을 오래 참지 않고 바로 해결할 수 있도록
'서울임플나무치과'에서는 당일 사랑니 발치가 가능합니다.
implnamu
사랑니는 이런 문제를 발생시킵니다!
사랑니는 신체 방어력이 높고 턱뼈가 무른 10-20대에 뽑는 것이 좋습니다.

시간이 흐름에 따라 사랑니에 문제가 생길 가능성이 높아지고 턱뼈 또한 치밀해지기 때문에
나이가 들수록 사랑니를 제거하기가 힘들며 합병증이 생길 가능성이 높기 때문입니다.
서울임플나무치과의
더 이상 실패하지 않는 임플란트 재수술
임플란트를 하는 치과는 많지만, 기존의 임플란트를 살리고,
재수술하여 성공하는 치과는 많지 않습니다.

임상을 하다 보면 쓰시던 임플란트가 망가져서
다시 수술해야 하는 경우를 보게됩니다.
임플란트 주위 뼈가 녹았거나 임플란트 자체가 파손된 경우도 있습니다.

서울임플나무치과의 임플란트를 살려쓰는 임플란트 재수술은
풍부한 임플란트 재수술 임상경험의 집도의가
임플란트가 실패할 수 있는 모든 경우에 대응합니다.

망가진 임플란트를 제거할 수 있는 특수 키트,
실패한 임플란트를 제거하고 정밀하고 꼼꼼한 진단으로
이전의 임플란트가 망가진 원인을 분석하여
임플란트를 오래 쓰실 수 있는 임플란트로 대체해 드리고 있습니다.

서울임플나무치과는
성공적이고 만족스러운 임플란트 재수술을 약속드리겠습니다.
implnamu
왜 숙련된 의사에게 받아야 할까요?
사랑니 치료의 경우 여러가지 문제가 발생할 수 있습니다.
경우에 따라서 발치의 방법도 바뀌게 되고, 또한 사랑니 주변의 신경, 턱뼈 등을 신경써야 하기 때문에
숙련된 의사에게 받는 것이 중요합니다.
implnamu
사랑니 발치 추천 드려요
사랑니 악안면외과
사랑니 악안면외과
사랑니 악안면외과
사랑니 악안면외과
implnamu
사랑니 기술력
울쎄라® 시술은 시각화된 마이크로포커스 초음파(MFU-V)를 사용하여 비침습적인 방법으로 피부층에 따라 맞춤 시술이 가능합니다.
울쎄라®는 1.5mm, 3.0mm, 및 4.5mm의 다수의 깊이를 시술하므로, 표적 조직(진피, SMAS층) 모두를 목표로 합니다.
사랑니 악안면외과
사랑니 악안면외과
POINT   보이는 초음파 리프팅
실시간 영상을 통해 사람마다 다른 피부 깊이 및 구조를 눈으로 확인해 안전하고 정밀한 개인별 맞춤 시술이 가능합니다.
사랑니 악안면외과
POINT   재생을 위한 최적의 온도
새로운 콜라겐 생성 및 재생을 위한 최적의 온도 60-70℃의 열을 표적 조직에 정확하게 전달합니다.
사랑니 악안면외과
POINT   다양한 피부 깊이에 전달
1.5mm, 3.0mm, 4.5mm의 다수 깊이를 비침습적인 방법으로 피부층에 따라 맞춤 시술이 가능합니다.
#사랑니 #악안면외과
사랑니, 궁금해요
Q. 사랑니는 꼭 뽑아야 하나요?
A.
염증이나 충치가 있는 사랑니를 방치하면 인접한 큰 어금니 혹은 사랑니 주변 잇몸뼈에 문제를 일으킵니다. 아플 때까지 방치했다면 이미 주변에 많은 문제를 야기했을 가능성이 높습니다. 관리가 어려운 사랑니는 미리 뽑으시는 것이 좋습니다.
Q. 사랑니 근처에는 신경이 있어요!
사랑니 뿌리근처에는 아래턱 신경이라는 커다란 신경이 지나갑니다. 개개인마다 다르지만 뽑는 과정에서 신경에 손상을 일으킬 가능성이 있습니다. 신경손상 가능성에 대한 사전 분석이 필요하며 손상가능성이 있다고 판단되는 경우 경험 많은 의사에게 조심스러운 발치 및 후처리가 요구됩니다.
Q. 사랑니 뽑는 과정은 매우 힘든 건가요?
매복사랑니는 매복된 위치에 따라 난이도가 다릅니다. 보통 잇몸 수술을 동반해서 치아 분할, 골 삭제가 이뤄지므로 많이 불편할 수 있는 과정입니다. 최소절개, 최소삭제를 원칙으로 발치를 진행하여 수술 기간과 후유증을 최소화합니다.
shorts
Dr. Kwon Yejin
Specialty
Dr.Kwon Yejin
Specialty
Philosophy
치과 의사의 단 4.6% 의 특별함
언제나 환자분의 말에 공감하고 귀 기울이겠습니다.구강뿐만 아니라 환자의 몸, 그리고 마음까지, 전신적인 케어를 제공합니다.
From treatment to true healing,
heart to heart.
치료를 넘어 치유로, 마음과 마음으로
‘나무’가 가진 상징처럼, 치료를 넘어 치유되도록 약속합니다. 구강뿐만 아니라 환자의 몸, 그리고 마음까지, 전신적인 케어를 제공합니다.
상담이 필요해요.
APPOINTMENT 예약상담 / 오시는 길
경기도 광명시 오리로 963-1, 2층 주소 복사
(광명사거리역 1번 출구 도보 1분)
02-6212-2228
HOURS 진료시간 안내
진료안내
평        일  
오전 09:30 - 오후 18:30
월        수  
오전 09:30 - 오후 20:30
토    요    일  
오전 09:30 - 오후 14:00
일요일 및 공휴일 휴진
PARKING 주차안내
오시는 길
경기도 광명시 오리로 963-1, 2층
광명사거리역 1번출구와 서울임플나무치과 사이 골목으로 들어오셔서 20m전방 우회전하면 치과주차장이 있습니다.
카카오
지도
구글
지도
로고

로그인

로그인 후 이용해주세요.