카톡상담
유튜브
권예진 원장
인스타그램
상담

top
TOP
구강센터 구강센터 악안면센터 악안면센터
GLOBAL CLOSE
내 치아처럼 편안하고 튼튼하게
오래도록 사용할 수 있는 틀니 무절개 임플란트틀니
IMPLNAMU
무절개 임플란트틀니
임플란트 틀니는 종류에 따라 탈부착식과 고정식이 있습니다.
전문의와 상담한 후 본인에게 적합한 시술을 받으시면 됩니다.
수술전
수술후
[임플란트] 타치과 임플란트 실패 후 재식립 사례
Before 1 Front Before 1 Side
수술전
수술후
[임플란트] 전악 임플란트 식립사례
Before 2 Front Before 2 Side
화살표
화살표
마음과 마음이 하는 치료,
치료이상의 치유를 약속합니다.
잇몸 절개 부담을 줄였습니다.
틀니의 불편함을 덜어주는
무절개 임플란트틀니
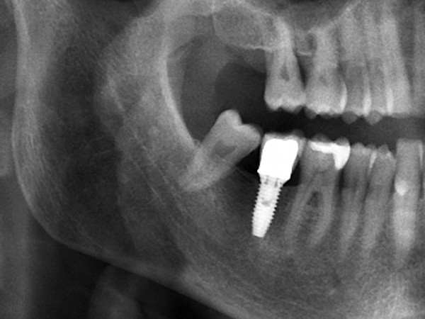
무절개 임플란트틀니는 잇몸을 크게 절개하지 않고, 잇몸 표면에 작은 구멍을 내어 임플란트 고정체를 심은 뒤 그 위에 틀니가 단단히 연결되도록 설계하는 치료입니다. 이 방법은 기존 틀니에 비해 잘 빠지지 않고 덜 흔들려, 식사나 대화 시 안정감 있는 사용을 돕는 것을 목표로 합니다.

잇몸을 넓게 여는 수술에 비해 시술 시간이 짧고 부기와 통증이 적어 고령의 환자분이나 전신질환이 있는 분들도 비교적 부담을 줄이고 치료를 계획하실 수 있습니다. 충분한 검사와 상담을 통해 잇몸 뼈 상태를 확인한 후 개인별로 임플란트 개수와 위치를 조절해, 일상생활에 무리가 적도록 기능과 편안함을 함께 고려하여 진행합니다.
implnamu
무절개 임플란트틀니 시술 과정
디지털이기 때문에 가능합니다.
모의 수술과 수술 후 결과까지 예측하는
최소식립 전악임플란트
최소식립 전악임플란트는 칼로 잇몸을 절개하는 방법이 아닌 임플란트 식립 부분만 작은 홈으로 구멍을 뚫어 시술하는 방법입니다. 이 치료 방법은 수술 후 통증이나 붓기, 출혈이 거의 없어 부담이 없는 수술입니다.

기존의 절개 수술에 비해 수술 시간이 짧고 병원 내원 횟수가 적어 연세가 많으신 고령의 환자 또는 당뇨와 고혈압 같은 전신 질환이 있으신 분들도 안전하게 시술하실 수 있어 최고의 정확성과 안정성을 보장하며 부작용을 최소화합니다.
implnamu
무절개 임플란트틀니 추천 드려요
implnamu
무절개 임플란트틀니는 특별해요
무절개 임플란트틀니 임플란트
무절개 임플란트틀니 임플란트
무절개 임플란트틀니 임플란트
무절개 임플란트틀니 임플란트
implnamu
무절개 임플란트틀니 기술력
울쎄라® 시술은 시각화된 마이크로포커스 초음파(MFU-V)를 사용하여 비침습적인 방법으로 피부층에 따라 맞춤 시술이 가능합니다.
울쎄라®는 1.5mm, 3.0mm, 및 4.5mm의 다수의 깊이를 시술하므로, 표적 조직(진피, SMAS층) 모두를 목표로 합니다.
무절개 임플란트틀니 임플란트
무절개 임플란트틀니 임플란트
POINT   보이는 초음파 리프팅
실시간 영상을 통해 사람마다 다른 피부 깊이 및 구조를 눈으로 확인해 안전하고 정밀한 개인별 맞춤 시술이 가능합니다.
무절개 임플란트틀니 임플란트
POINT   재생을 위한 최적의 온도
새로운 콜라겐 생성 및 재생을 위한 최적의 온도 60-70℃의 열을 표적 조직에 정확하게 전달합니다.
무절개 임플란트틀니 임플란트
POINT   다양한 피부 깊이에 전달
1.5mm, 3.0mm, 4.5mm의 다수 깊이를 비침습적인 방법으로 피부층에 따라 맞춤 시술이 가능합니다.
#무절개 임플란트틀니 #임플란트
무절개 임플란트틀니, 궁금해요
Q. 무절개 임플란트틀니는 어떤 분들에게 필요한 치료인가요?
A.
기존 틀니가 잘 맞지 않아 자주 빠지거나 씹을 때 불편한 분들, 잇몸뼈가 많이 흡수되어 일반 틀니가 자꾸 헐거워지는 분들께서 주로 고려하시는 방법입니다. 잇몸을 크게 절개하지 않고 소수의 임플란트를 식립해 그 위에 틀니를 고정하기 때문에, 틀니의 움직임을 줄이고 음식 섭취 시 안정감을 높이는 데 도움을 줄 수 있습니다. 다만 잇몸뼈 상태와 전신질환 유무에 따라 적용 가능 여부가 달라질 수 있어 정확한 진단 후 치료 계획을 결정하게 됩니다.
Q. 무절개 임플란트틀니 수술 후 회복 기간은 어느 정도 걸리나요?
개인차는 있지만, 잇몸 절개 범위가 비교적 적어 초기 붓기나 불편감은 일반적인 임플란트 수술보다 완화되는 경우가 많습니다. 보통 며칠 정도 일상생활은 가능하며, 임플란트가 뼈와 안착되는 기간 동안은 부드러운 음식 위주의 식사를 권장합니다. 최종 틀니 장착 시점과 사용 방법은 뼈 상태와 치유 경과에 따라 달라질 수 있으므로, 정기 내원 시 치과의사와 충분히 상의하는 것이 좋습니다.
shorts
Dr. Kwon Yejin
Specialty
Dr.Kwon Yejin
Specialty
Philosophy
치과 의사의 단 4.6% 의 특별함
언제나 환자분의 말에 공감하고 귀 기울이겠습니다.구강뿐만 아니라 환자의 몸, 그리고 마음까지, 전신적인 케어를 제공합니다.
From treatment to true healing,
heart to heart.
치료를 넘어 치유로, 마음과 마음으로
‘나무’가 가진 상징처럼, 치료를 넘어 치유되도록 약속합니다. 구강뿐만 아니라 환자의 몸, 그리고 마음까지, 전신적인 케어를 제공합니다.
상담이 필요해요.
APPOINTMENT 예약상담 / 오시는 길
경기도 광명시 오리로 963-1, 2층 주소 복사
(광명사거리역 1번 출구 도보 1분)
02-6212-2228
HOURS 진료시간 안내
진료안내
평        일  
오전 09:30 - 오후 18:30
월        수  
오전 09:30 - 오후 20:30
토    요    일  
오전 09:30 - 오후 14:00
일요일 및 공휴일 휴진
PARKING 주차안내
오시는 길
경기도 광명시 오리로 963-1, 2층
광명사거리역 1번출구와 서울임플나무치과 사이 골목으로 들어오셔서 20m전방 우회전하면 치과주차장이 있습니다.
카카오
지도
구글
지도
로고

로그인

로그인 후 이용해주세요.