카톡상담
유튜브
권예진 원장
인스타그램
상담

top
TOP
구강센터 구강센터 악안면센터 악안면센터
GLOBAL CLOSE
문제가 생긴 임플란트를 살리는
임플란트 재수술! 임플란트 살리기와 재수술
IMPLNAMU
임플란트 살리기와 재수술
여러가지 요인으로 인해 문제가 생긴 기존 임플란트를 제거하고
새로운 임플란트를 식립하는 임플란트 재수술은 세심한 진단과 의료진의 경험이 필요합니다.
수술전
수술후
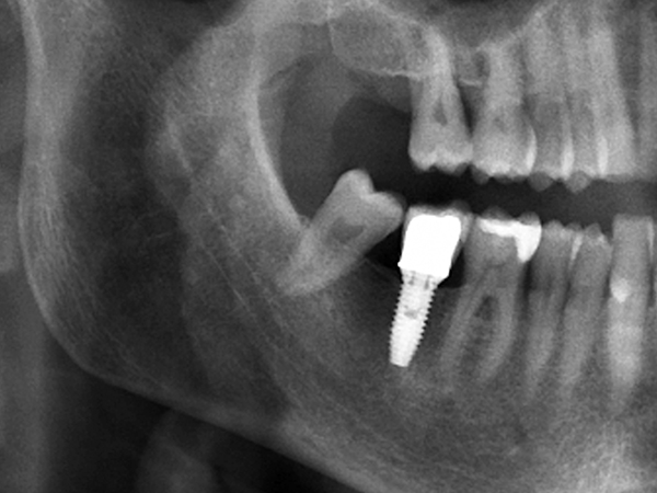
[임플란트] 타치과 임플란트 실패 후 재식립 사례
Before 1 Front Before 1 Side
수술전
수술후
[임플란트] 전악 임플란트 식립사례
Before 2 Front Before 2 Side
화살표
화살표
마음과 마음이 하는 치료,
치료이상의 치유를 약속합니다.
서울임플나무치과의
더 이상 실패하지 않는 임플란트 재수술
임플란트를 하는 치과는 많지만, 기존의 임플란트를 살리고,
재수술하여 성공하는 치과는 많지 않습니다.

임상을 하다 보면 쓰시던 임플란트가 망가져서
다시 수술해야 하는 경우를 보게됩니다.
임플란트 주위 뼈가 녹았거나 임플란트 자체가 파손된 경우도 있습니다.

서울임플나무치과의 임플란트를 살려쓰는 임플란트 재수술은
풍부한 임플란트 재수술 임상경험의 집도의가
임플란트가 실패할 수 있는 모든 경우에 대응합니다.

망가진 임플란트를 제거할 수 있는 특수 키트,
실패한 임플란트를 제거하고 정밀하고 꼼꼼한 진단으로
이전의 임플란트가 망가진 원인을 분석하여
임플란트를 오래 쓰실 수 있는 임플란트로 대체해 드리고 있습니다.

서울임플나무치과는
성공적이고 만족스러운 임플란트 재수술을 약속드리겠습니다.
implnamu
임플란트를 살려 쓰는 임플란트 재수술,
이럴 때 받아야 합니다.
implnamu
임플란트 살리기와 재수술 추천 드려요
implnamu
임플란트 살리기와 재수술은 특별해요
치아, 잇몸의 건강상태에 대해 충분한 설명을 듣고
치료기간, 비용, 보장기간 등을 고려하여 치료에 신중을 가해야합니다.
서울임플나무치과는 임플란트 수술 후 잇몸염증이나 신경제거와 같은
철저한 사후관리를 약속드립니다.
임플란트 살리기와 재수술 임플란트
임플란트 살리기와 재수술 임플란트
임플란트 살리기와 재수술 임플란트
임플란트 살리기와 재수술 임플란트
implnamu
임플란트 살리기와 재수술 기술력
울쎄라® 시술은 시각화된 마이크로포커스 초음파(MFU-V)를 사용하여 비침습적인 방법으로 피부층에 따라 맞춤 시술이 가능합니다.
울쎄라®는 1.5mm, 3.0mm, 및 4.5mm의 다수의 깊이를 시술하므로, 표적 조직(진피, SMAS층) 모두를 목표로 합니다.
임플란트 살리기와 재수술 임플란트
임플란트 살리기와 재수술 임플란트
POINT   보이는 초음파 리프팅
실시간 영상을 통해 사람마다 다른 피부 깊이 및 구조를 눈으로 확인해 안전하고 정밀한 개인별 맞춤 시술이 가능합니다.
임플란트 살리기와 재수술 임플란트
POINT   재생을 위한 최적의 온도
새로운 콜라겐 생성 및 재생을 위한 최적의 온도 60-70℃의 열을 표적 조직에 정확하게 전달합니다.
임플란트 살리기와 재수술 임플란트
POINT   다양한 피부 깊이에 전달
1.5mm, 3.0mm, 4.5mm의 다수 깊이를 비침습적인 방법으로 피부층에 따라 맞춤 시술이 가능합니다.
#임플란트 살리기와 재수술 #임플란트
임플란트 살리기와 재수술, 궁금해요
Q. 임플란트 살리기와 재수술는 어떤 경우에 가능한가요?
A.
기존 임플란트가 많이 흔들리지 않고, 주변 잇몸에 염증만 생긴 경우에는 임플란트를 살리는 치료를 먼저 고려할 수 있습니다.
CT 촬영으로 뼈 상태와 염증 범위를 확인한 뒤, 감염 조직을 정리하고 필요 시 뼈 이식과 잇몸 치료, 보철물 교체를 함께 진행합니다.
반대로 임플란트 주변 뼈가 심하게 녹았거나 나사가 부러진 경우에는 살리기보다 제거와 재수술이 더 안전할 수 있습니다.
따라서 임의로 뺄지 유지할지 결정하지 말고, 전문의의 정밀 검사를 통해 가장 적절한 방법을 선택하는 것이 중요합니다.
Q. 임플란트 재수술은 언제 필요하다고 보나요?
A.
임플란트 주변이 자주 붓거나 통증이 반복되고, 양치 후 피가 나거나 잇몸이 자꾸 붉게 부어오르는 경우 재수술을 고려할 수 있습니다.
씹을 때 임플란트가 흔들리거나, 엑스레이 상에서 뼈가 많이 녹아 있는 것이 확인될 때에도 추가 치료 또는 재수술이 필요할 수 있습니다.
나사 풀림, 나사 파절, 보철물이 반복적으로 깨지는 경우에는 구조적인 문제를 동반한 경우가 많아, 단순 수리보다 재계획이 중요합니다.
정확한 재수술 시기와 방법은 CT와 구강 상태, 전신질환 여부를 종합적으로 평가한 후 결정하게 됩니다.
shorts
Dr. Kwon Yejin
Specialty
Dr.Kwon Yejin
Specialty
Philosophy
치과 의사의 단 4.6% 의 특별함
언제나 환자분의 말에 공감하고 귀 기울이겠습니다.구강뿐만 아니라 환자의 몸, 그리고 마음까지, 전신적인 케어를 제공합니다.
From treatment to true healing,
heart to heart.
치료를 넘어 치유로, 마음과 마음으로
‘나무’가 가진 상징처럼, 치료를 넘어 치유되도록 약속합니다. 구강뿐만 아니라 환자의 몸, 그리고 마음까지, 전신적인 케어를 제공합니다.
상담이 필요해요.
APPOINTMENT 예약상담 / 오시는 길
경기도 광명시 오리로 963-1, 2층 주소 복사
(광명사거리역 1번 출구 도보 1분)
02-6212-2228
HOURS 진료시간 안내
진료안내
평        일  
오전 09:30 - 오후 18:30
월        수  
오전 09:30 - 오후 20:30
토    요    일  
오전 09:30 - 오후 14:00
일요일 및 공휴일 휴진
PARKING 주차안내
오시는 길
경기도 광명시 오리로 963-1, 2층
광명사거리역 1번출구와 서울임플나무치과 사이 골목으로 들어오셔서 20m전방 우회전하면 치과주차장이 있습니다.
카카오
지도
구글
지도
로고

로그인

로그인 후 이용해주세요.